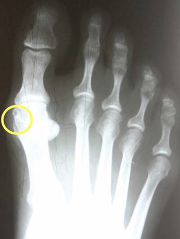
Mild Bunion Xray
Do you have a twisted or rotated pelvis. When i broke my right talus bone i had a few weeks where my ankle was really swollen.
A bunionectomy is a surgical procedure to excise or remove a bunion.
Mild bunion xray. Surgery to place cartiva synthetic cartilage implants in the large joints of my big toes has reduced pain and restored motion and function. As in weightbearing cast weightbearing x rays etc. It is weight bear but bear weight is better grammar.
Here is a comprehensive and complete list of stretching and strengthening exercises to help de rotate your pelvis. Learn about how to treat a dislocated toe and what the symptoms are for a dislocated toe a broken toe and a sprained toe and when to seek help for toe injuries. Pain may be caused by problems with your hip joint the muscles that support your hip joint andor diseases.
Ganglion cyst removal or ganglionectomy is the removal of a fluid filled sac on the skin of the wrist finger or sole of the foot. Hip pain is a common problem with many potential causes. Bunions are most often caused by poor foot mechanics they can.
Healthcentral combines medically vetted health information with personal stories about life with chronic health conditions to give you the tools and inspiration to. A bunion is an enlargement of the joint at the base of the big toe and is comprised of. A bunion is the term used for a deviated position of the big toe and enlargement of the big toe joint.
The cyst is attached to. But months after the injury it was already healing and there was little swelling.
What To Do About Bunions Harvard Health
The Truth About Bunions The Foot Problem Everyone S Embarrassed To
Bunion Surgery The Complete Patient Guide
Hallux Valgus Bunion Craig A Wilkes Dpm
Margaret River Correspondent Bunions New Xrays 2 Years And 1 Month
Minimally Invasive Bunion Surgery London And Hertfordshire
Bunion Treatment Bunion Removal Beverly Hills Ca Sherman Oaks
Bunion Causes Symptoms Treatments Pain Prevention Tips Bunion
Hallux Valgus Bunion Craig A Wilkes Dpm
Bunion Bootie Natural Non Surgical Bunion Treatments
Hallux Valgus Bunion Craig A Wilkes Dpm
How To Fix A Bunion Without Surgery 4 Easy Tips
Bunion Do I Have One On My Big Toe Foot Leg Centre
Bunions Increased Forefoot Width Dr Jenny Sanders Shoe Blog
Bunion Academy Foot And Ankle Southlake Hurst Keller Fort
Bunion Surgery Metatarsal Osteotomy
Hallux Valgus Bunion Conditions The London Foot Ankle Clinic
Current Concepts In Minimally Invasive Bunion Surgery Podiatry Today
Hallux Valgus Radiology Reference Article Radiopaedia Org
Abnormal Foot X Ray Foot X Ray Can Show An Abnormal Angle
Hallux Valgus Bunion Conditions The London Foot Ankle Clinic
What Is A Bunion Bunion Surgery
Disorders Of The Great Toe Musculoskeletal Medicine For Medical
Bunion Surgery London Harley Street London 0207 870 1076
Hallux Valgus Bunion Conditions The London Foot Ankle Clinic
Bunion Surgery For The Mild Bunion Ppt Download
Bunion Surgery The Complete Patient Guide
Bunions Common Disorders Dr Chris Chiodo
Bunion Surgery The Foot And Ankle Clinic
Foot And Ankle Doctor Articles Asia Medical Specialists
Getting The Best Of Bothersome Bunions Harvard Health
Should You Have Bunion Surgery Final Kick
Bunion Do I Have One On My Big Toe Foot Leg Centre
What Causes Bunions And What Are The Possible Treatment Options
Hallux Valgus A Minimally Invasive Surgery Corrects The Position Of
Clinical Dossier The Wright Prostep Mis Advantage
How To Treat A Bunion E Storm Community Storm
Bunion Surgery Allen Tx Foot Doctor
Hallux Valgus A Minimally Invasive Surgery Corrects The Position Of
Hallux Valgus Bunion Craig A Wilkes Dpm
Bunion Keyhole Surgery Until Now The Only Cure Was Painful Bone
Your Stiff Painful Big Toe Joint Might Be Arthritis Hallux Rigidus
Bunions Common Disorders Dr Chris Chiodo
Hallux Valgus Radiology Reference Article Radiopaedia Org
Bunions Foot Ankle Center Orthopaedic Surgery Massachusetts
Hallux Valgus Bunion Conditions The London Foot Ankle Clinic
X Ray Of Tailor S Bunion Biomechanics Foot Leg Podiatry
Bunion Surgery The Tagoe Clinic
Bunion Surgery The Complete Patient Guide
Hallux Valgus Workup Laboratory Studies Imaging Studies Staging
Bunion Surgery Before And After Pictures Best Podiatrist Nyc
About Bunion Repair Allen Tx Foot Doctor
Hallux Valgus Foot Ankle Orthobullets
Rheumatoid Arthritis Of The Foot And Ankle Orthoinfo Aaos
Bunion Splint Find The Best Style For You
Hallux Valgus Bunion Conditions The London Foot Ankle Clinic
Bunion Or Hallux Abducto Valgus Foot Ankle Clinic
Bunion Surgery Academy Foot And Ankle Southlake Hurst Keller
Why Do Bunions Form Issaquah Foot Ankle Specialists
Your Stiff Painful Big Toe Joint Might Be Arthritis Hallux Rigidus
Z Foot Metatarsus Adductus Seattle To Everett Foot Ankle
Lapiplasty 3d Bunion Correction Jcmg Podiatry Jefferson City
Addressing Hallux Valgus In The Metatarsus Adductus Foot Type
Bunnion Montebello And Irvine Ca Foot Doctor
What To Do About Bunions Harvard Health
Prostep Minimally Invasive Surgery
Hallux Valgus Bunion Craig A Wilkes Dpm
Sgh Doctor On New Minimally Invasive Bunion Surgery Healthxchange
Bunion The Foot And Ankle Online Journal
Minimally Invasive Bunion Surgery Methods And Outcomes
The Treatment Of Hallux Valgus 07 12 2012
Big Toe Arthritis Hallux Rigidus The London Foot Ankle Clinic
Eye Tracking Data And Bunion Surgery Youtube
Hallux Valgus Deformity Preoperative Radiologic Assessment
Hallux Valgus First Metatarsophalangeal Angle Radiology Case
:max_bytes(150000):strip_icc()/Xray-56a3156c5f9b58b7d0d04c6b.jpg)
/bunion-4-56bd345d3df78c0b13806ec1.jpg)



:max_bytes(150000):strip_icc()/BunionXray-56a315713df78cf7727bb92f.jpg)









